Cas cliniques
Pour apprécier la qualité des traitements réalisés par le Docteur Gladys POITOU, nous avons mis à votre disposition quelques cas illustrant sa pratique quotidienne. Pour obtenir un résultat idéal et stable dans le temps, l’orthodontiste doit s’efforcer d’atteindre des objectifs de traitement, communs à tous les cas.
Objectif des arcades
- Alignement parfait des dents, sans espaces
- Fil de contention collé de canine à canine

Objectif de l’occlusion De face
- Milieux centrés (flèches noires)
- Secteurs latéraux emboités (cercles jaunes)

Objectif de l’occlusion De profil
- Occlusion molaire de Classe I (flèches vertes)
- Occlusion canine de Classe I (flèches bleues)
- Guide antérieur (Cercle rouge)

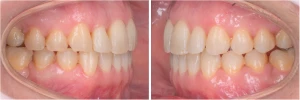
Avant / Après
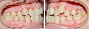
CAS 1 : Orthodontie de l’adulte - Encombrement et biprotrusion - Extraction de prémolaires
Les extractions de prémolaires sont encore d’actualité malgré l’évolution des techniques orthodontiques.
Pour cette patiente présentant un encombrement important (manque de place) associé avec une biprotrusion (dents en avant dans l’os), l’extraction des quatre prémolaires a permis l’alignement dentaire, mais également le repositionnement des dents dans l’os, limitant ainsi les problèmes parodontaux (de la gencive et de l’os) type récession (déchaussement) des dents.
Le décalage latéral (symbolisé par le décalage des milieux inter-incisifs) a été corrigé par des élastiques. La correction de l’occlusion latérale est le garant de la stabilité du traitement.






CAS 2 : Orthodontie de l’adulte - Correction du profil - Cas ortho-chirurgical
Cette patiente présente un problème d’alignement dentaire associé à un défaut squelettique : une brachie-maxillie (mâchoire du haut trop petite) et une latérognatie mandibulaire (mâchoire du bas déviée).
Du fait que la patiente soit adulte, il ne nous a pas été possible de jouer sur la croissance pour corriger ces défauts.
Ainsi, le traitement a été réalisé en 3 phases :
Une première phase d’alignement dentaire (préparation des mâchoires pour la chirurgie)
Une phase de chirurgie (correction du décalage des mâchoires)
Une phase de finitions pour régler l’occlusion et la stabilité du traitement.
Un fil de contention a été collé en haut et en bas afin de garantir la stabilité du traitement.






CAS 3 : Orthodontie de l’enfant - Syndrome de Brodie - Croissance des mâchoires
Cette patiente présente un Syndrome de Brodie qui se caractérise par un maxillaire (mâchoire du haut) trop grand par rapport à la mandibule (mâchoire du bas). Cela a pour conséquence d’entrainer une exoclusion (dents du haut trop à l’extérieur pour toucher les dents du bas) du secteur latéral droit.
Le traitement a consisté en un alignement dentaire suivi d’une phase d’expansion de la mandibule (grâce à l’appareil), associée à une stimulation de la croissance de la mandibule (mâchoire du bas) à l’aide d’élastiques.
La stabilité du traitement a été assurée à l’aide de fils collés en haut et en bas ainsi que des gouttières de contention pour stabiliser la largeur des mâchoires.






CAS 4 : Orthodontie de l’enfant - Encombrement et supraclusion - Le stripping
Cette jeune patiente présente un encombrement sévère à l’arcade inférieure (mandibule). De plus, elle présente un recouvrement total des incisives mandibulaires par les incisives maxillaires (supraclusion totale).
Ici, l’alignement dentaire a pu être réalisé grâce à l’utilisation de « stripping » ou réduction amélaire interproximale (RIP). Ce procédé consiste en la réduction de la largeur de la dent à l’aide de fraises ou de petites bandelettes abrasives. Cette réduction est réalisée sous aide optique afin de rester le moins délabrante possible. Seule une fine couche d’émail (partie dure de la dent) est retirée.
Les espaces libérés par cette technique, en association avec une reconformation d’arcade (élargissement de la forme globale du sourire) nous ont permis d’aligner les dents de notre patiente et de corriger son sourire.






CAS 5 : Orthodontie de l’enfant - Décalage des mâchoires
Chez cette patiente, la croissance de la mandibule (mâchoire inférieure) ne s’est pas faite correctement (manque de croissance).
Le traitement a consisté en l’alignement dentaire (à l’aide d’extractions) et la stimulation de la croissance à l’aide d’élastiques latéraux.
La stabilité du traitement a été garantie à l’aide de fils de contention collés en haut et en bas.






CAS 6 : Orthodontie de l’adulte - Fermeture des espaces et correction de l’occlusion - Mini vis d’ancrage
Cette patiente adulte nous consulte pour la correction de son sourire et la fermeture des espaces suite à la perte d’une dent. De plus, cette patiente souffre de douleurs au niveau de l’ATM (articulation temporo-mandibulaire).
Le traitement a permis de corriger le sourire, en alignant les dents et en fermant les espaces. L’utilisation de mini vis d’ancrage a permis la fermeture des espaces consécutifs à l’extraction des molaires abimées.
Enfin, la suppression des cales molaires (composite) et le port d’élastiques a permis la correction du décalage latéral, garant de la stabilité du traitement et la disparition des douleurs.






CAS 7 : Orthodontie de l’enfant - CAS COMPLEXE - Endoalvéolie (défaut de croissance de la mâchoire supérieure), encombrement important (manque de place) et canines incluses (dents bloquées dans l’os)
Le traitement a été réalisé en 2 phases :
La première phase de traitement a consisté en l’élargissement du maxillaire (mâchoire supérieure) à l’aide d’un disjoncteur. Le jeune âge du patient a permis d’utiliser la croissance pour cette correction.
La deuxième phase de traitement a consisté en l’alignement dentaire et la traction des 3 canines incluses. L’adjonction d’élastiques a permis de corriger les décalages des mâchoires et garantir la stabilité du traitement.
Un fil de contention collé de canine à canine, en haut et en bas permet de stabiliser l’alignement et d’éviter tout risque de récidive. Les fils de contention sont à garder à vie.






CAS 8 : Orthodontie de l’adulte - Correction du profil - Cas ortho-chirurgical avec avancée mandibulaire
Chez cette patiente, la croissance de la mandibule (mâchoire inférieure) ne s’est pas faite correctement (manque de croissance) notamment à cause des incisives maxillaires (dents du haut) palato-versées (rentrées vers l’intérieur).
Du fait que la patiente soit adulte, il ne nous a pas été possible de jouer sur la croissance pour corriger ces défauts.
Ainsi, le traitement a été réalisé en 3 phases :
Une première phase d’alignement dentaire (préparation des mâchoires pour la chirurgie) ou l’on a « déverrouillé » la mâchoire du bas grâce à la correction des incisives maxillaires (dents de devant en haut)
Une phase de chirurgie (correction du décalage des mâchoires par avancée de la mâchoire du bas)
Une phase de finitions pour régler l’occlusion et la stabilité du traitement.
Un fil de contention a été collé en haut et en bas afin de garantir la stabilité du traitement.






CAS 9 : Orthodontie de l’enfant - Décalage des mâchoires
Chez cette patiente, la croissance de la mandibule (mâchoire inférieure) ne s’est pas faite correctement (manque de croissance).
Le traitement a consisté en l’alignement dentaire, la fermeture des espaces, et la stimulation de la croissance à l’aide d’élastiques latéraux.
La stabilité du traitement a été garantie à l’aide de fils de contention collés en haut et en bas.






CAS 10 : Orthodontie de l’adulte - Décalage des mâchoires - Traitement lingual et mini-vis
Chez cette patiente, la croissance de la mandibule (mâchoire inférieure) s’est fait de manière asymétrique (manque de croissance à droite) entrainant un décalage des milieux.
Le traitement a consisté en l’alignement dentaire en technique linguale (interne), et la correction du décalage à l’aide d’élastiques latéraux et de mini-vis (appuie osseux pour reculer les dents du haut).
La stabilité du traitement a été garantie à l’aide de fils de contention collés en haut et en bas.






